“五个月了,终于不用再背着引流瓶过日子。”术后复查时,59岁的患者老李(化名)难掩激动。这位有着40年吸烟史的患者,五个月前因右上肺结节接受胸腔镜肺叶切除术后,肺部便出现持续漏气症状。即便接受了负压吸引等保守治疗,漏气问题始终未得到解决,生活质量严重受影响。辗转多地后,老李来到东南大学附属中大医院寻求进一步治疗。
精准定位:揪出肺部漏气“真凶”
支气管胸膜瘘被称为胸外科治疗中的“硬骨头”,其瘘口周围组织常伴随炎症、血供不良等问题,且易出现复杂的气流异常,给治疗带来极大挑战。中大医院呼吸与危重症医学科副主任丁明副主任医师带领的介入团队接诊后,首先通过术前CT初步锁定右上叶后段为疑似瘘口位置,但要确保封堵精准,还需更精密的检测。

术中,丁明副主任医师带领团队启用CHARTIS支气管胸膜瘘检测系统——这一被称为“漏气定位利器”的装置,能通过实时测气道负压波形,精准判断支气管与瘘口的连通情况。检测结果却出现了意外:除右上叶后段外,下叶背段和上叶尖段也显示出类似的负压波形。
团队结合影像学资料反复研判,最终得出关键结论:右上叶后段是真正的主瘘口,其余两处异常实为“旁路通气”所致——即气体通过侧支通道形成的假性漏气信号。若贸然封堵所有靶点,不仅会导致患者肺功能大幅下降,必定还会加重其经济负担。
小小活瓣:形似“鱼嘴”暗藏玄机

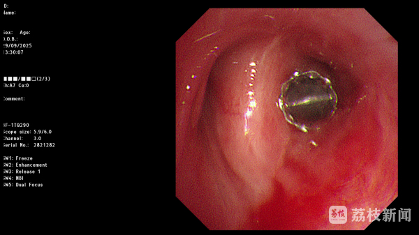
在明确治疗方案并与患者及家属充分沟通后,丁明团队决定实施经支气管镜EBV活瓣封堵术。手术在气管镜引导下进行,根据术前测量的结果,术中仅通过气管镜工作通道便将输送导管准确送到目标支气管,然后推动推送器将一枚直径4毫米的活瓣精准置入右上叶后段支气管开口。
这枚形似“鱼嘴”的活瓣暗藏玄机:它能随呼吸周期实现单向闭合,吸气时严密关闭阻止气体进入瘘口区域,呼气时则自动打开允许气体排出,形成“只出不进”的气流模式,从而维持胸腔负压,为瘘口愈合创造条件。置入瞬间,医护人员便观察到引流瓶水柱停止波动——这意味着漏气已即刻终止。
微创介入:为顽固性支气管胸膜瘘患者提供更多选择
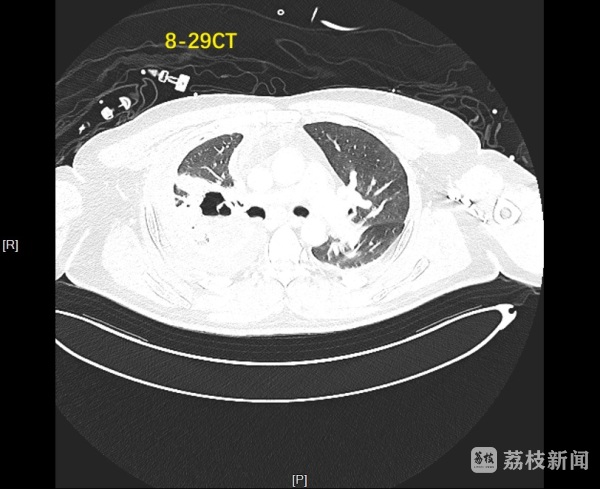
术后一周的CT复查显示,患者胸腔内气胸明显消失,上叶空洞显著缩小,顺利拔除引流管出院。术后一个月再次复查时,胸部CT证实右肺已完全复张,气胸症状彻底消失,达到临床治愈标准。
“顽固性支气管胸膜瘘患者往往无法承受二次手术,微创介入成为最佳选择。”中大医院呼吸与危重症医学科副主任丁明介绍,EBV活瓣封堵术通过术前精准评估气流动力学与瘘口解剖、术中标准化置入、术后密切随访的“三步法”,能为顽固性支气管胸膜瘘患者实现即刻、持久的瘘口封闭。与传统手术治疗相比,该技术不仅创伤小、恢复快,更具有安全可逆、疗效确切的优势,尤其适用于保守治疗失败且再手术风险高的病例。此次手术的成功实施,再次验证了EBV活瓣介入技术在呼吸重症领域的应用价值,也为更多肺部术后并发症患者带来了新希望。
记者 | 江苏城市频道 谢炜
通讯员 | 王倩 程守勤
编辑 | 江苏广电总台荔枝新闻中心 汪泽
原文网址:
http://m.jstv.com/news/2025/11/12/1438204676435902464.html?curchannel=%E7%8E%B0%E5%9C%BA




